Replacement of a single missing tooth at the front of the mouth with simultaneous bone grafting procedure
Implant placement to replace single missing teeth. In this instance, the teeth that were missing are the patients upper right first premolar (UR4) and lateral incisor (UR2) teeth.
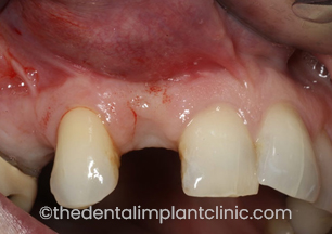
Case completed by Dr Elliott Ballantyne




Missing upper right lateral incisor (UR2) and first premolar (UR4) teeth
X-Ray of Implants placed at UR2 and UR4 sites
Implant placed at the UR2 site
Implant restored with implant crown (UR2). Natural appearance of the implant retained crown.
Replacement of a Single missing tooth at the front of the mouth involving a staged block bone grafting procedure
Implant placement to replace missing upper right central incisor tooth (UR1) due to trauma. This patient had a two staged procedure. The first stage involved a block bone graft to regenerate the missing bone ensuring that there was an adequate foundation for the implant to be placed. The second stage involved the placement of the dental implant 9 months after the initial bone grafting procedure had been completed.
Case completed by Dr Elliott Ballantyne




Missing upper right central incisor tooth (UR1) due to trauma
Missing UR1 with bone loss due to trauma
Procedures staged: [1] Block bone graft allowing the bone to regenerate for 9 months [2] Implant placement UR1
Happy patient with UR1 implant retained crown restoring smile with natural tooth
Replacement of multiple missing teeth involving a two staged sinus lift procedure
This patient was missing her upper right molar teeth. As the patient had insufficient bone available for implant placement initially, she required a small sinus operation to regenerate the bone to provide her with an adequate foundation for implant placement. This procedure is known as a Lateral Window Sinus Lift.
Case completed by Dr Elliott Ballantyne




3 Missing back teeth. A sinus lift procedure has been performed to increase the volume of bone available for implant placement at the upper right first molar tooth site (UR6).
Two implants placed at the upper right first premolar site (UR4) and in the sinus graft at the upper right first molar tooth site (UR6).
X-ray picture showing the sinus graft with the implants placed to restore the missing teeth with an implant retained bridge.
Patient happy with her new back teeth restoring her beautiful smile.
Single missing tooth at the front of the mouth
Implant placement to replace the upper left central incisor (UL1) that had been previously root canal treated but developed a persistant infection and unfortunately could not be saved.
Case completed by Dr Elliott Ballantyne


Missing upper left central incisor tooth (UL1)
Implant retained crown to replace the missing UL1
Replacement of an infected upper right middle incisor tooth
In this case, the upper right incisor (UR1) was infected and needed to be removed. Tooth removal and implant replacement was done carefully to protect the adjacent existing implant and avoid any recession occurring. A natural and aesthetic result was achieved
Case completed by Dr Pratik Patel


The pre-operative photo before tooth removal
The post-operative photo showing the final fitted implant crown
Replacement of a missing incisor
This young patient was missing her upper left side incisor (UL2) from birth. After a course of orthodontic treatment to align the teeth, careful implant placement was completed to achieve this aesthetic result in a patient with a high smile line.
Case completed by Dr Pratik Patel


The pre-operative photo with a false tooth on the brace
The post-operative photo with the braces and implant treatment complete showing the implant crown at UL2
Multiple failing teeth replaced with a new bridge
This patient had multiple existing implants but also had several natural teeth with crowns breaking, getting decay and coming to the end of their life. A comprehensive plan was made to carefully remove those teeth which cannot be saved and to make a single large implant retained bridge to offer a more predictable and stable long term result.
Case completed by Dr Pratik Patel


The pre-operative photo with existing implants, missing teeth and old crowns
The post-operative photo with the new 8 unit bridge fitted on implants
Smile improvement with replacement crowns and 2 dental implants
In this case, the patient was missing the upper left incisor (UL2) and premolar (UL4). The adjacent teeth were stained and showing old crown margins. In this case, the patient simply received a new matching crown on the upper left middle incisor (UL1) and an implant at UL2 and UL4 to replace the missing teeth producing a nice even smile again for the patient who was delighted with the result.
Case completed by Dr Pratik Patel


The pre-operative photo with missing teeth and stained crown margin
The post-operative photo with the two implants and new crown in situ
Composite Bonding Case Studies
Case completed by Rhodri Thomas






BEFORE
AFTER
BEFORE
AFTER

