Testimonials

Patient Testimonials

Below you can read our Patient Stories – in-depth testimonials from former patients of The Dental Implant Clinic sharing the details of their experiences with us. Please visit our case studies page to see further examples of our clinical work with before-and-after photos. Please Contact Us to discuss treatment in your particular case.

Patient

Hannah Marsh, 22, Bath

‘I got really upset and on a number of occasions burst into tears but everyone at The Dental Implant Clinic was really supportive, patient and calming and really understood how I was feeling‘

Hannah’s background

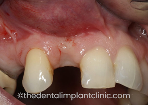
Hannah was a 19 year old art student when she first visited The Dental Implant Clinic. Hannah’s dentist was concerned about some redness around the gum of one of her front teeth and a crack that had formed at the top of the tooth.

She was referred to The Dental Implant Clinic, where it was diagnosed that the tooth had previously suffered severe trauma from a bottle, the tooth had died and would become loose and fall out.

Hannah decided that a dental implant would provide the best long-term solution for her.

The treatment

Hannah came to The Dental Implant Clinic to have the tooth removed and a denture was fitted afterwards so that she could enter university life without the added stress of a gap in her front teeth. Once the gum had healed, the implant was placed.

Hannah still returns to The Dental Implant Clinic for check-ups and the pictures below show close-ups of her implant after nearly 20 years.

Before
After

Replacement of Hannah’s upper right central incisor with an implant retained crown/tooth

Hannah now has a perfect smile

Patient

Robert Bates, 49, Swainswick, near Bath

‘For the fist time in nine years I have been able to eat an apple without chopping it into pieces…and go to a restaurant and order what I want! Cosmetically, I look in the mirror and it looks great!‘

Robert’s background

Robert, a 49 year old building contractor from near Bath, had long term problems with an upper front tooth since it snapped when he was 18. The tooth was capped for approximately twenty years, and more recently, for the past nine years, he had a false tooth fixed to the snapped tooth by a metal post.

Whilst working around the corner from the Clinic, Robert ran into the practice at 8.30am as the tooth had become loose. Although he did not have an appointment and had never visited the practice before, a consultation was arranged later that day.

The treatment

During the consultation it became clear that Robert’s tooth needed to be extracted. As Robert was nervous about dental procedures, the tooth was extracted and replaced with a temporary bridge whilst he was under sedation. This meant that on the day of the extraction Robert had a tooth still in situ, and at no stage did he have to have a gap in his teeth.

Advised of all the options, Robert chose a dental implant because he did not want to wear a denture or a bridge. After about six weeks of healing, the implant was placed and left in situ for approximately ten weeks, after which time the bridge was removed and the implant tooth restored. Just five months after the initial consultation, Robert’s treatment was complete.

Review

Ann Hart-Ives, 67, Chippenham, Wiltshire

‘I had a denture for a couple of years and I didn’t really enjoy smiling because everyone could see the gold clips. Since I have had the dental implants, I have felt more confident and my friends have said that I smile more.‘

Ann’s background

Ann, a retired 67 year old from Chippenham, Wiltshire was referred to The Dental Implant Clinic as she disliked wearing a denture because it seemed a very large and uncomfortable replacement for just three missing teeth. Ann needed three implants on her upper left side with a sinus bone graft.

‘I was referred to The Dental Implant Clinic by my dentist. From the initial consultation, I was impressed and I felt completely at ease as everything was explained to me clearly throughout my treatment. I was surprised how easy and painless the whole process was. It was also very comforting to be treated by an expert who, along side all of the nurses, helped me through every step of the treatment.’

The treatment

Ann’s treatment was in two phases. The first phase was to perform a sinus bone graft where by some extra bone was added to enable the implants to be well anchored. The sinus bone graft needed six months to consolidate during which time Ann continued to wear her denture so that at no stage was she left with gaps.

Ann said: ‘Although the thought of a sinus bone graft was quite daunting, I found it a completely painless experience.’

Ann was a participant in the clinic’s teaching course and the three implants were placed by a dentist under supervision ensuring everything was cosmetically beautiful. After her treatment, Ann had three very firm implants and no longer has to wear a denture.

Review

Jane Hills, 44, Bristol

‘For 30 years I haven’t been able to bite into an apple. I also never realised how wobbly teeth made me feel so insecure. My new implants have definitely made me feel more confident and relaxed and they will last forever.‘

Jane’s background

Jane was knocked over by a car aged 11 and her two front teeth experienced a severe trauma and subsequently died. For almost three decades, Jane had received extensive dental work including crowns and bridges. These continued to fail and she also experienced a number of abscesses as a result of the problems with her two front teeth.

‘I was referred by my dentist to The Dental Implant Clinic as he felt that implants were the only solution to my ongoing problems with my two front teeth. For my initial consultation, I was very impressed and the before and after pictures of previous patient cases really convinced me to take the dental implant route.’

The treatment

Because of the huge amount of dental work Jane had previously received, she had become quite concerned about the implant treatment. The Dental Implant Clinic explained that all of the major work could be carried out under sedation and also suggested that she have a friend accompany her to offer support prior to being sedated. Following the initial consultation, the two teeth were carefully removed and replaced by two implants. During the period that the implants were healing, a denture was fitted.

Jane said on completion of the treatment: ‘This has been such a relief. I have definitely reached the end of the road. A real full stop from the legacy of the initial trauma I suffered.’