What is a dental implant?
A dental implant is a small screw, usually made of titanium, placed into the jawbone where a tooth is missing. It acts as a strong, long-lasting base for a replacement tooth.
Titanium implants have been used for over 40 years and are proven to be reliable, effective, and often the best solution for replacing missing teeth. They integrate naturally with the bone through a process called osseointegration, creating a secure foundation.
We also offer ceramic implants made from Zirconia — a white, non-metal alternative ideal for patients looking for a metal-free option. The Dental Implant Clinic is an accredited centre for placing Straumann Zirconia implants.
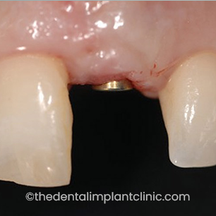
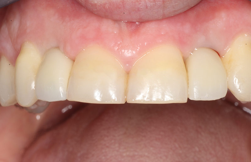
Once the implant is placed, it’s left to heal for 4–6 weeks. During this time, the bone fuses around it. A small connector, called an abutment, is then attached to hold the final crown — your new tooth.
The crown is carefully made to match your natural teeth in shape and colour, so it blends in perfectly.




The two last pictures above show an implant in place, and then the finished result with the abutment and crown added. The abutment allows the fixation of the final part of the implant – the crown (a replacement tooth). The crown is usually screwed into place. The porcelain on the crown is custom made to match the colour of the rest of your teeth, so that the implants are imperceptible from natural teeth. This is shown in the examples of our Work.
Why Choose Dental Implants?
At The Dental Implant Clinic, we focus on dental implants because they offer the most natural, long-lasting solution for replacing missing teeth.
Benefits of Dental Implants:
- Restore your ability to eat confidently – even hard foods like apples and carrots
- Look and feel like real teeth
- Support your facial structure – helping you look younger for longer
- Preserve jawbone health – preventing bone loss after tooth removal
- No need to damage healthy teeth – unlike bridges
- No daily removal or cleaning – unlike dentures
When teeth are lost, the jawbone naturally shrinks, which can make the face appear older. Dental implants help stop this by stimulating the bone, just like real tooth roots. They’re also highly versatile — from replacing a single tooth to restoring a full smile.
Unlike dentures or bridges, implants are fixed in place, don’t rely on nearby teeth, and help maintain your facial shape and confidence over time.
We pride ourselves on creating beautiful, natural-looking results. Just take a look at our before and after gallery to see what’s possible.
If you have missing teeth, or are about to lose teeth, then filling the gap can be achieved with a denture, bridge or implants. To some, dentures are a bit old fashioned, perhaps something that their grandparents might have worn, and they involve the hassle of removal and cleaning. All bridges involve the cutting of adjacent teeth to some extent. However, the major problem with dentures and bridges is that they fail to preserve the bone and gum around extracted teeth and this will continue to shrink throughout life, giving an ageing effect. Dental implants, on the other hand, feel just like normal teeth, do not involve the cutting of adjacent teeth, are much more of a permanent solution, and prevent the gum shrinkage and ageing effect.
At The Dental Implant Clinic we have developed the skills to make dental implants look incredibly natural. You can see what can be achieved by looking at some of our before and after pictures.
Meet your Implant Dentist
- Highly Qualified & Experienced
- Experts in Implant Dentistry
- Professional Recognition
- 50+ Years Combined Experience
Use of implants
Retaining or replacing dentures
Implants can be used to retain dentures which will stop your dentures from moving. This can be incredibly useful if your dentist has been unable to make a set of dentures which does not move. Implants can also be used to do away with dentures all together and return you to fixed teeth again. So, if you are fed up with your dentures and have to always watch what you can eat, avoiding tough food, then denture free implants can be a great solution. Just imagine being able to bite into a crisp apple or eat a raw carrot! Many dentures have unsightly clips on existing teeth which can now be eliminated with dental implants. Any denture, big or small, can now be replaced with dental implants. This will allow you to chew all of your favourite foods with no food escaping under the denture.
Replacing Bridges
Implants are so strong that they can be used to permanently replace your bridge, as shown in this picture:
The picture shows a mouth with three missing teeth. A conventional tooth supported bridge would need to use the teeth either side of the gap to support the missing teeth. Implants do not attach to the surrounding teeth. The implants placed into the bone act like artificial tooth roots; they stimulate the bone and help keep its shape and strength.
Replacing unstable or infected crowned teeth
If an existing crowned tooth is becoming a liability and your dentist is unable to reliably fix the problem, many patients are now choosing to have the problem tooth carefully removed and replaced with a much more reliable and stronger dental implant.
An example of this problem and its solution is given in the testimonial of Robert Bates, who had a front crown that kept coming out. Click here to read about his successful treatment at The Dental Implant Clinic.


Replacing missing second teeth
Missing second teeth is quite a common occurrence. Indeed six percent of children have some second teeth that do not ever develop. It is best to seek professional help as soon as missing teeth have been identified. You will need to see an orthodontist and an implantologist so that a plan can be put forward that will minimize the impact of the missing teeth. If a back tooth that is missing then this is less of a problem; often the baby tooth can be left in situ for many years to come. It may well last until around age forty! It is very common for upper lateral incisors (second from the front) to never develop.
The management of these missing teeth requires careful planning with an orthodontic/implant team approach. At The Dental Implant Clinic, the team works to manage the treatment of many young people with missing second teeth. The girl in the picture girl did not develop her upper lateral incisors and chose to have her missing teeth replaced with dental implants as any other option would not have been as durable, nor as natural looking.
Placing implants


Step 1
First the extracted tooth is allowed to heal. This is vitally important to allow new bone to form in the hole left by the extracted tooth. During this time a temporary tooth is usually inserted so that no gap will be visible.


Step 2
Next the implant is placed under local anaesthetic (or sedation). This procedure is performed using pioneering key-hole surgery at The Dental Implant Clinic. The implant is left for a few weeks to heal. During this time a temporary tooth is usually re-inserted.


Step 3
Next a titanium post is screwed into the implant. The titanium will fuse with the bone in the mouth, providing a strong, stable and long-lasting platform for the tooth to be fixed upon.


Step 4
The crown is then inserted on top of the post. The crown is custom made by hand to match in with your own teeth, so that your implant will be indistinguishable from a natural tooth. The smile is now complete, and the implant will function just as a normal tooth.
Take it from our patients

Implant placement, bone graft and gum graft to replace 4
missing upper front teeth
See our work
Replacement of a Single missing tooth at the front of the mouth involving a staged block bone grafting procedure
Implant placement to replace missing upper right central incisor tooth (UR1) due to trauma. This patient had a two staged procedure. The first stage involved a block bone graft to regenerate the missing bone ensuring that there was an adequate foundation for the implant to be placed. The second stage involved the placement of the dental implant 9 months after the initial bone grafting procedure had been completed.
Case completed by Dr Elliott Ballantyne




Missing upper right central incisor tooth (UR1) due to trauma
Missing UR1 with bone loss due to trauma
Procedures staged: [1] Block bone graft allowing the bone to regenerate for 9 months [2] Implant placement UR1
Happy patient with UR1 implant retained crown restoring smile with natural tooth
Dental Implant FAQs
How long have dental implants been available in the UK?
Although modern implantology began in Sweden in the late 60s, popularity really grew throughout the UK in the 1980s. The team at The Dental Implant Clinic has been placing dental implants since 1993.
Am I too old for dental implants?
No. Any person at any age can have dental implants as long as there is enough bone available in which to place the dental implants. If there is not enough bone, extra bone can often be grafted using your own bone or artificial bone.
What are the benefits of dental implants?
- Your new dental implant will look and feel like natural
- With dental implants you will have more confidence to smile and even be able to bite an apple!
Dental implants can replace a removable denture with fixed teeth - Dental implants stop your gums and bone from shrinking which reduces the ageing effect caused by losing teeth
Will I be left without teeth during treatment?
We understand it can be embarrassing for patients to be without their teeth. During the treatment we will do all we can to help you smile confidently and that nobody will know you have a gap. If you do need to be without teeth to allow initial healing, this will be clearly explained to you before treatment commences.
Is dental implant surgery painful?
We work closely with our patients to ensure that they feel no discomfort during the placement of the dental implant. This is through using an effective local anaesthetic. Post-operatively we supply painkillers to ensure that our patients remain comfortable. We also offer sedation if you are nervous or do not want to be aware of what is happening during treatment.
How long does the treatment take?
For routine cases treatment time is usually ten to twelve weeks. More complex cases can take longer. For instance, when there is sufficient bone, treatment time is shortened and when there is insufficient bone, treatment time can be increased. Your specific treatment schedule will be explained to you during your consultation.
Can dental implants preserve bone?
Yes, they can, and once dental implants have been placed the bone can even become stronger.
Would I need to do anything prior to treatment?
Yes. As part of our consultation we will screen your gums, bone and teeth for any infections. Prior to implant placement your remaining teeth and gums need to be healthy. We will offer any additional treatment to ensure that your mouth is healthy prior having implants. If you have been referred by your dentist then you can return to your normal practice to have any necessary pre-implant treatment.
What if I am nervous about treatment?
Some of our patients prefer to have the dental implants placed under sedation. A sedative can be carefully administered to relax you during the treatment and ensure that you remember nothing about it afterwards.